发布时间:2023-03-06 来源:
你有没有这样的烦恼,对着镜子看自己的牙齿,越看越感觉牙齿好黄,或者美美地化了个妆、涂了漂亮的口红,开口一笑露出一排黄黄的甚至黑黑的牙齿,不由得感叹为什么我的牙齿这么不白呢?牙黄一般有以下原因。
一、外源性着色
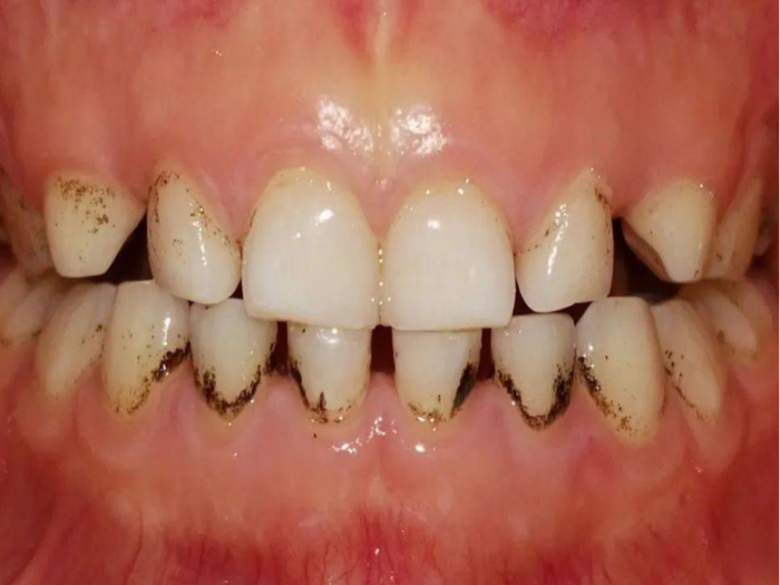
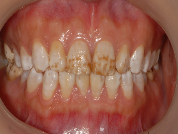
色素着色:长期饮用色素饮料,如浓咖啡、可乐、茶水等都会引起色素沉着,导致牙面发黄。

长期吸烟:烟草中的尼古丁、烟焦油等物质会黏附在牙齿表面,使牙齿变黄,甚至变成黄褐色。
增龄性改变:随着年龄增长,牙齿透明层变薄,牙本质层逐渐增厚,牙齿表现出比年轻时候颜色要黄。
细菌聚集:因为没有认真刷牙,口腔卫生措施不到位,导致牙表面有大量细菌、菌斑的附着,本身光滑的牙面变的黏糊糊的,看上去不再那么白亮。
二、内源性着色
四环素牙,四环素是一类治疗细菌感染的药物,对发育中的牙齿具有染色作用,从前医学界没有重视到四环素对牙齿的染色作用,现在这类药物已经不用于儿童和孕妇了,但是仍有父母缺少这方面的知识,盲目应用四环素类药物,所以目前在儿童中仍可见四环素牙。这种病虽然称为四环素牙,但实际上不仅是四环素可以引起,像土霉素、金霉素、去甲金霉素等药物也可引起四环素牙,因为这些药物的结构与四环素相似,在医学上同属四环素药物家族。这其中四环素和去甲金霉素引起变色的作用最强。它们破坏牙齿是在牙齿发育的矿化期间产生的,这时进入人体的四环素与牙齿中的钙相结合,形成稳定的物质,影响牙体硬组织的矿化,引起牙釉质发育不全。

氟斑牙,又称氟牙症或斑釉,是由于从小(7岁之前)生活在高氟地区,在牙釉质发育期间长期摄入含氟较高的水或者食物,造成牙釉质色素沉着,呈黄白色斑点,严重的会伴有牙体缺损。氟斑牙一般在恒牙上出现,乳牙很少出现。

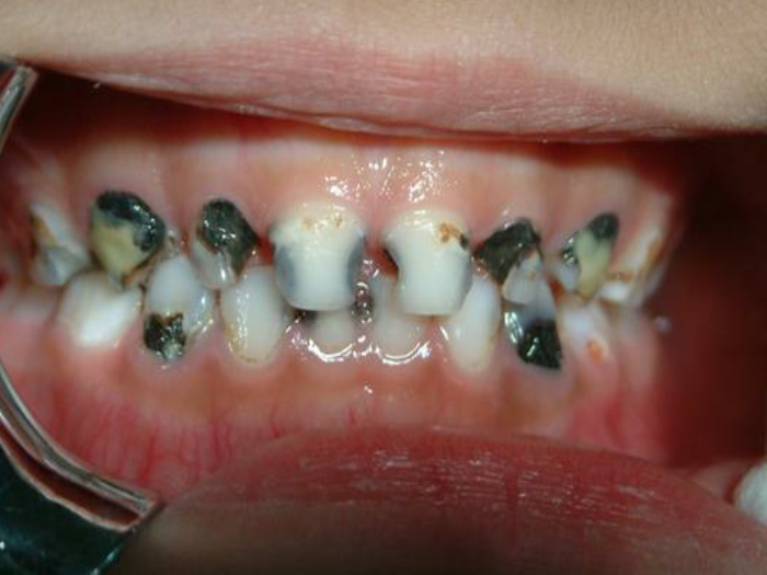
龋齿,牙齿发生龋坏时,细菌会产生色素,伴随食物中的色素沉着,使龋洞出现黑色、褐色或者黄色。

(滨湖门诊部 董瑶)