发布时间:2023-06-07 来源:
在门诊经常遇到喊着牙疼过来就诊的人,最后经过医生检查发现是食物嵌塞导致的。也就是我们平时所说的塞牙,是在咀嚼过程中,食物被咬合压力楔入相邻两牙的牙间隙内。正常情况下牙与牙之间紧密接触,是不会发生塞牙情况的。当你发现开始塞牙,那你的牙齿可能出现了问题。

一、经常塞牙的原因
邻面的龋齿破坏了正常的牙齿结构,造成了缝隙的出现。相邻的两颗大牙邻面有龋洞,吃的东西就全塞进去了。有时候不一定能发现它,它却能每天都折磨你。想要解决的话,不要忘尽快去医院充填上。有些牙缝龋齿还不容易补,若补牙的材料跟旁边的那颗牙之间接触不紧密,或接触的部位不好,就会导致塞牙,非常常见。当然每个人牙齿情况不一样,具体怎么治疗还需要听专业医生的方案哦。

牙齿因为各种原因错位或扭转,造成牙齿之间出现了间隙。这个通俗点说就是牙齿不齐,外观牙齿整齐不代表牙齿结构整齐,只要有一颗牙排列有点歪都可能会导致塞牙。有牙齿排列不齐出现牙齿缝隙导致食物嵌塞,进行矫正可以让牙齿排列整齐,让牙齿缝隙紧密。
智齿在作怪。智齿是最容易塞的一颗牙了,因为大多数人智齿长得都不正,别的牙都是从下往上竖着长,可智齿经常从后往前横着长,于是它跟前面的牙之间就出现了一道楔形的沟,这样就极其容易塞牙。

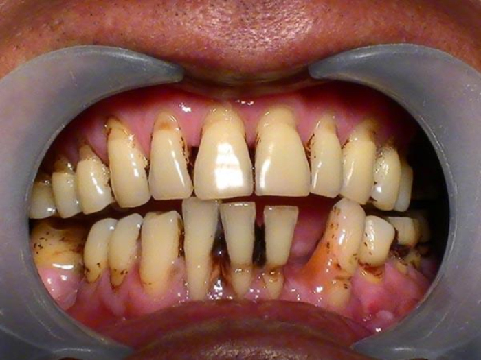
牙齿松动与邻牙间隙变大——牙周病。牙周病是指发生在牙支持组织(牙周组织)的疾病,可以出现进行性附着丧失和牙槽骨吸收,最后导致牙松动丧失。牙周疾病是常见的口腔疾病,是引起成年人牙齿丧失的主要原因之一,也是危害人类牙齿和全身健康的主要口腔疾病。

不注意口腔卫生,食物残渣产生的毒素就会慢慢地刺激牙龈发炎,频繁发炎的牙龈又会刺激到牙槽骨,发炎的牙槽骨慢慢吸收,变得越来越低,包裹它的牙龈也慢慢萎缩,这样暴露在外面的牙根就会越来越多,牙齿就会慢慢松动。也许最开始发现不了,但是当你用力咀嚼食物是会发现上下牙往一起用力时,松动的牙齿被推开一道缝,塞牙就会发生了。
二、塞牙的危害
塞牙会让牙齿胀痛,以此容易造成偏侧咀嚼甚至进食障碍。
塞牙还会让你口臭。食物残渣产生大量细菌,并且还有不好闻的味道……
塞牙容易让你患龋齿。很多塞牙,都是会导致龋齿的。
塞牙也会产生牙周病。食物残留塞牙缝是给细菌提供了繁殖的温床,细菌大量繁殖就会导致牙龈发炎呐~
三、洗牙、学会使用牙线
要正确认识洗牙和使用牙线的好处,洗牙和使用牙线是不会让牙缝变大的。
洗牙后牙缝变大的原因。长期存在的牙结石会不断刺激牙龈和牙槽骨,导致牙槽骨吸收、牙龈萎缩。不经过洗牙步骤,牙结石占了牙龈萎缩和牙槽骨吸收的空间,感觉不明显。当洗牙之后,将牙结石从牙缝、牙龈内清理出来,牙龈肿胀、炎症等都会慢慢消退,达到治疗效果,牙龈萎缩和牙槽骨吸收长不回来,便会出现牙缝。
(滨湖门诊部 陈贝贝)