DB电竞

/ 主页 /口腔保健/健康科普

刷牙总是出血?当心牙周病!

发布时间:2021-12-31    来源:

    牙周病作为最常见的口腔疾病之一,被称为成年人掉牙的“头号杀手”。本文将对牙周病做一个简短介绍,希望广大群众关注牙周健康,科学、正确地认识牙周病。

什么是牙周病?

    牙周炎主要是由局部因素引起的牙周支持组织的慢性炎症,包括仅累及牙龈组织的牙龈炎和波及深层牙周组织(牙周膜、牙槽骨、牙骨质)的牙周炎两大类。发病年龄常见于35岁以后,牙周疾病是引起成年人牙齿丧失的主要原因之一,也是危害人类牙齿和全身健康的主要口腔疾病。

    调查显示,我国成人和老年人牙周健康率分别只有14.5%和14.1%,37.0%的成人和86.1%的老年人有牙齿缺失,口腔健康形势不容乐观。

     导致牙周病的因素主要有哪些?

    牙周病是多因素引起的牙周组织慢性炎症病变,局部的、全身的、行为和社会心理的诸多因素都会导致牙周病的发生。

    1.局部因素包括牙菌斑、牙结石、咬合创伤、食物嵌塞以及一些解剖因素等;

    2.全身因素包括遗传因素、吸烟、糖尿病、艾滋病及精神压力等。

牙周病的临床表现

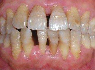
    牙周病最常见的症状是牙龈出血、口腔异味,晚期可出现牙齿松动、移位。

 

     牙龈红肿   

 

                               

   牙齿松动、移位


    1.牙龈炎:牙周病早期表现,表现为牙龈红肿,刷牙出血。及时治疗,此阶段可痊愈。如果不及时治疗,炎症会进一步发展,引起深部的牙槽骨吸收,发展成牙周炎。

    2.轻度的牙周炎:可见牙龈红肿,刷牙出血,口臭;患者常常因为不会疼痛而加以忽略。

    3.中度牙周炎:出现咀嚼无力,口臭,牙龈退缩,牙根暴露,出现牙缝,牙床肿痛;因为牙龈的肿痛时起时消,患者认为是所谓的上火造成,依然没有引起足够的重视。

    4.重度牙周炎:出现牙齿松动,移位,疼痛,溢脓等症状,无法咀嚼食物,最终导致牙齿脱落。

 

 

牙周病的系统治疗方法

    1、正确的日常口腔护理(刷牙及使用牙线),定期口腔检查及洁牙;

    2、药物治疗:龈袋冲洗、袋内上药或用含漱液等;

    3、龈上洁治术(常规洗牙);

    4、龈下刮治术(又称牙周刮治);

    5、牙周手术治疗:包括牙龈切除术和牙龈成形术、翻瓣术、植骨术。

牙周病是可以预防的疾病

    由于牙周病在早、中期没有明显的自觉症状,而绝大部分国人又没有定期看牙医的习惯,因此牙周病很难在早期被发现,直到牙齿松动时才意识到问题。因此很多人认为,人老了牙齿自然都会脱落,俗称——“老掉牙”。但是,随着医疗技术的发展和人们保健意识的提高,越来越多的人认识到,牙齿脱落是因为牙齿生病了,只要定期看牙医,及时治疗牙周病,牙齿是可以受用终身的!

    因此建议大家养成定期口腔检查的习惯,出现口腔方面问题请及时就医。


(政务区门诊部 王泽华)